Cirugía endoscópica de mínima invasión para tumores de base de cráneo y cerebral
Neurocirugia de descompresión microvascular para neuralgia del trigémino, neuralgia del glosofaríngeo y espasmo hemifacial
Cirugía de columna (discos intervertebrales, canal lumbar o cervical estrecho)
Cirugía de defectos congénitos
Cirugía de lesiones de nervios periféricos (tunel del carpo, etc.)
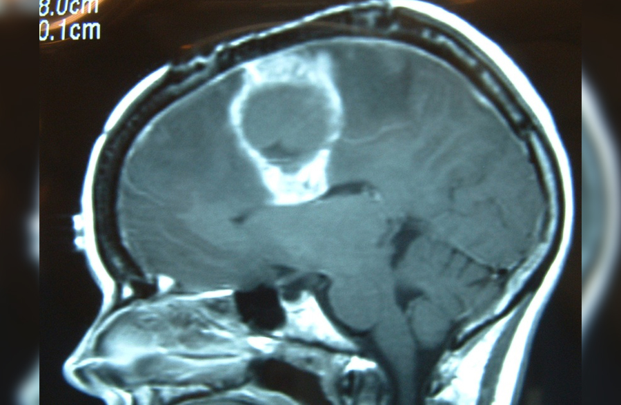
Tumores cerebrales
Los tumores se manifiestan por dolor de cabeza que no responde al manejo habitual.
También puede haber convulsiones, alteraciones de la fuerza de un lado del cuerpo o
afectación de la movilidad ocular o de la cara, vértigo, nauseas, vómitos, falta de coordinación, transtornos hormonales o visuales etc.
¡Es muy importante su detección temprana!
Hernia discal que causan compresión en una raíz nerviosa
Habitualmente causan mucho dolor lumbar, de tipo ciática, con debilidad para caminar y problemas de sensibilidad en los pies.
Requiere una valoración con estudio de imagen para determinar su manejo.

